Due to some blockage to urine flow, bladder stones frequently develop in the bladder. This is more frequent in men and can be brought on by an enlarged prostate or by a narrowing of the urethral channel (urethral stricture). In some situations, surgical treatment is also required to correct obstruction brought on by prostate enlargement. Rarely, kidney stones that go from the kidneys to the bladder might also enlarge with time.
To raise general awareness of the condition and its essential components, the best Bladder Stone Specialist in Delhi Dr. Niren Rao practicing at Dr. Niren Rao’s Urology Practice has provided comprehensive information about bladder stone diagnosis and treatments.
Quick Facts about Bladder Stones
Men above the age of fifty are most likely to get bladder stones.
Bladder stones are frequently caused by underlying medical issues.
Urinary discomfort and a change in urine color are signs of bladder stones.
In women, bladder stones are less common.
Blood in the pee can be caused by bladder stones.
What are Bladder Stones?
Bladder stones are also referred to as "cystoliths" or "vesical calculi." They develop when the bladder does not become entirely empty after urination, which leads to an accumulation of minerals.
Minerals in the urine eventually concentrate, and crystals of the liquid's minerals form. Bladder stones are most frequently made of uric acid, a molecule the body produces as it breaks down things.
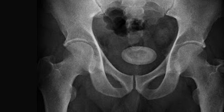
They are frequently discovered when a person undergoes an X-ray for another medical condition. Larger bladder stones may require removal by medical professionals. Sometimes a single stone will form, and other times a cluster of stones may.
How are Bladder Stones different from Kidney Stones?
The bladder is where most of these stones will develop. But occasionally, stones that develop in the kidneys can be small enough to slip past the ureters and into the bladder (the tubes running from the kidney to the bladder). In this situation, bladder stones could develop from kidney stones.
These stones may leave the body when they are still tiny. Other times, bladder stones may slowly accumulate more mineral crystals, growing more significant and more challenging to pass.
What are the Symptoms of Bladder Stones?
Whenever the stone scratches the bladder lining, symptoms develop. The passage of urine from the bladder could also be obstructed by the stones.
Abdominal pain and pressure
Abnormally colored, dark-colored, or blood in the urine
Difficulty urination
Frequent urge to urinate
Inability to urinate except in certain positions
Interruption of the urine stream
Pain, discomfort in the penis
UTI symptoms (such as pain while urinating, fever, and need to pee often)
Bladder stones can also cause loss of bladder control.
What are the Causes of Bladder Stones?
Neurogenic bladder: The bladder may not be completely empty if the nerves that connect it to the nervous system are injured, as can happen after a stroke or spinal injury.
Prostate enlargement: An enlarged prostate can pressurize on the urethra, obstruct urine flow, and leave some pee in the bladder.
Medical equipment: If catheters or other devices make their way to the bladder, they may produce bladder stones.
Bladder inflammation: Urinary tract infections or chemotherapy and radiotherapy can increase the bladder and cause inflammation.
Dehydration: Minerals may accumulate in the bladder as a result of inadequate fluid intake rather than being diluted and flushed out through the urine.
How are Bladder Stones Diagnosed?
X-ray
Physical examination
Ultrasound
Urine analysis
Spiral CT scan
What is the Treatment for Bladder Stones?
An operation called a cystolitholapaxy is used to remove bladder stones, which are solid mineral deposits that can develop inside the bladder. A cystoscope is placed into the bladder during a cystolitholapaxy in order to find the stone or stones. Similar to a small telescope, the cystoscope. The stones are cut into smaller pieces by a laser before being removed.
Two distinct cystolitholapaxy techniques exist:
Transurethral: It is the most frequently performed procedure to remove bladder stones in adults. Under either general or local anesthetic, it is carried out. Stones are removed with a cystoscope and are introduced into the bladder via the urethra.
Percutaneous suprapubic: In situations where transurethral would not be suitable or successful, percutaneous suprapubic cystolitholapaxy is performed. The procedure is carried out while the patient is unconscious. A small (1 cm) incision is made in the lower abdomen skin as part of the surgery, and a hollow tube called a "sheath" is inserted, via which the cystoscope is introduced and stones are removed.
If one is experiencing any symptoms or is ignoring bladder stone warning signs. They must consult Dr. Niren Rao, the best Bladder Stone Specialist in Delhi, right away to prevent severe conditions. One can visit Dr. Niren Rao’s Urology Practice to learn more about bladder stones and their treatments.
