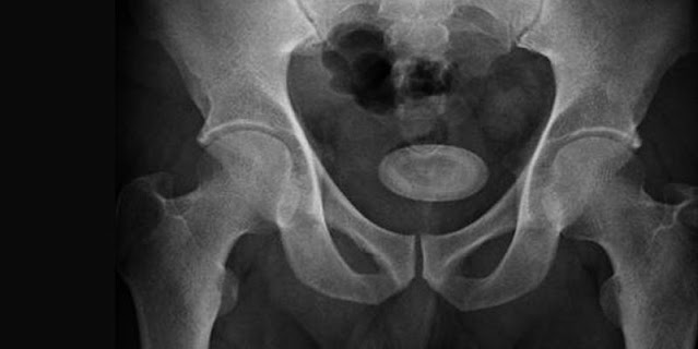
Hard masses of minerals that are present in the bladder are known as bladder stones. They occur when the urine in the bladder becomes concentrated, causing the minerals in the urine to crystalize. Concentrated urine that lies in the bladder for longer periods is often the result of not completely emptying the bladder.
In this blog, Dr. Niren Rao, a bladder stone specialist in Delhi, has discussed bladder stones and their effective treatment in detail. Continue reading for more information.
What are the Symptoms of Bladder Stones?
The following are the symptoms of bladder stones:
Pain in the lower abdomen
Painful urination
Frequent urination
Blood in urine
Repeated urinary tract infections
Men could face pain in the penis
Cloudy or dark-colored urine
Most individuals with bladder stones experience symptoms. However, there are some people who might never know they have a bladder stone, as some stones often pass on their own while urinating.
How to Get Rid of these Bladder Stones?
When it comes to treating bladder stones, which are solid mineral deposits that develop inside the bladder, a cystolitholapaxy is the most efficient surgical procedure. A cystoscope is introduced inside the bladder during a cystolitholapaxy procedure to locate bladder stones. It is like a tiny telescope. With the help of a laser, the stones are fragmented into small particles, which are then removed from the body.
Who Needs Cystolitholapaxy?
Patients who are unable to pass stones naturally by drinking a lot of water may require a Cystolitholapaxy. The candidates for this cystolitholapaxy procedure include patients who:
Do not wish to have an invasive procedure involving surgical incisions.
Has bladder stones less than 3cm in size.
Note: To avoid harming the urethra, percutaneous suprapubic Cystolitholapaxy (a kind of Cystolitholapaxy) is also advised for children with urinary bladder stones.
Who Should Not Undergo a Cystolitholapaxy?
Those suffering from the following conditions are not considered good candidates for cystolitholapaxy:
Untreated UTIs (urinary tract infections)
Big or too many bladder stones
What are the Benefits of Undergoing a Cystolitholapaxy?
When compared to other stone treatments, cystolitholapaxy has various advantages:
Cystolitholapaxy can treat all bladder stones.
It does not require surgical incisions.
It offers quick recovery.
The risk of bladder infections and pain is minimised.
It lowers the symptoms of the urinary tract.
To learn more about cystolitholapaxy or to avail its benefits, book a consultation with Dr. Niren Rao, the best urologist in Delhi, at Dr. Niren Rao’s Urology Practice. Book an appointment today.

Comments
Post a Comment